Détection de drones
Chaque drone laisse une empreinte, une onde d’information que ϕ révèle au-delà du visible.
Dans le flux rapide des images aériennes, ϕ agit comme un détecteur d’ordre.
Elle mesure, cadre après cadre, les zones où l’information se densifie : silhouettes, trajectoires, signatures thermiques ou optiques.
Là où l’intelligence artificielle apprend, ϕ ressent : elle capte la trace entropique du mouvement, l’intuition géométrique du vivant ou du mécanique.

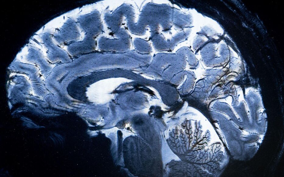
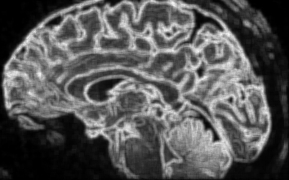
Médical
Voir n’est plus regarder : c’est comprendre la structure du monde cellulaire.
Loin du contraste classique, ϕ explore la richesse interne des tissus.
Elle distingue l’homogène du structuré, le bruit du sens, et redonne au regard médical une dimension topologique : celle de l’information vivante.
Les structures fines, souvent invisibles à l’œil nu, s’y dessinent comme des reliefs entropiques — un paysage du corps, révélé par la mathématique du vivant.

Astrophotographie
Quand le ciel semble muet, ϕ écoute le langage silencieux de la lumière.
Quand le ciel semble muet, ϕ écoute le langage silencieux de la lumière.















